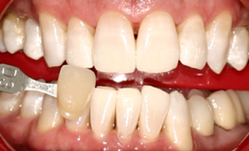
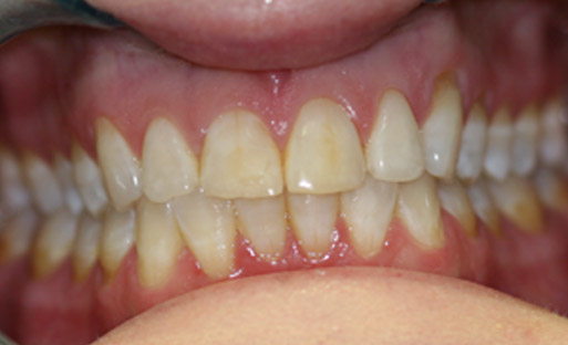
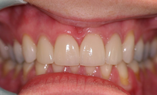
Click and drag the slider bars to unveil each amazing smile transformation.
Have questions? Call us at (701) 757-3025. Our office is open from Monday to Thursday, 8am to 5pm.
Contact Us
